Molecular Therapeutics®

  “Innovations In Microbial Control”                          

 
  “An Advanced  Wound Cleanser for Today’s Toughest Microbes”       
                  SilvaKlenz   Antibacterial Skin and Wound Cleanser

The prevention or resolution of skin or wound colonization by pathogenic microorganism has and continue to have important health repercussions. The use and misuse of antimicrobial agents continues to support the evolution of multi-drug resistant organisms that have the potential of causing significant morbidity and mortality including Methicillin resistant Staphylococcus aureus (MRSA), Vancomycin resistant Enterococcus faecalis (VRE) and multi-drug resistant Pseudomonas aeruginosa.

An innovative technology, based upon research conducted by the Emerging Diseases Research Group at the University of Georgia, has been developed that significantly enhances and potentiates the killing activity of topical antimicrobials. This new class of antimicrobials has been proven to destroy the protective barrier of biofilms as well as the integrity and functionality of the microbe’s cellular membrane. In vitro testing has shown that microbes that quickly develop resistance to antimicrobials in vivo, are unlikely to remain resistant or develop resistance to Potentiated antimicrobials.

SilvaKlenz is one of the first products incorporating this revolutionary  Potentiated antimicrobial technology to receive FDA clearance for professional use. SilvaKlenz is a next generation Wound Cleansing Solution, and it Does Not Contain Alcohol, Triclosan nor Benzoyl Chloride.

Mechanism of Action

SilvaKlenz has a direct effect on the stability of the  microbe’s cellular membrane.  Physical holes are generated in the microbe’s cytoplasmic membrane, thereby reducing the effectiveness of the bacteria’s efflux pump and facilitating the osmotic collapse and death of the microbe. Further, damage to the cell membrane enhances the ability of antimicrobials (such as Silvion)  to easily enter the pathogen resulting in fatal alterations in multiple biological processes.

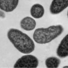
The following electron micrographs demonstrate the effect of Potentiated antimicrobials, against a multi-drug resistant Pseudomonas aeruginosa.

Some antimicrobial colonies form biofilms that create a defensive shield against antimicrobials. A typical biofilm formed by a Methicillin resistant Staphylococcus aureus (MRSA) colony is shown below. SilvaKlenz destroys the biofilm thereby reducing the effectiveness of this defense shield.

Biocompatibility and Antimicrobial Testing

SilvaKlenz is a pH balanced Potentiated   ionic silver solution. SilvaKlenz has exhibited in vitro, broad spectrum antibacterial activity by dissolving biofilms and interfering with biological functions of the microbe’s cell membrane. SilvaKlenz was proven safe and biocompatible for normal, breached or compromised skin using in vitro and in vivo standards established by FDA: ISO Modified Intracutaneous Study: USP and ISO Modified Systemic Toxicity Study; ISO Maximization Sensitization; and Cytotoxicity Agarose Overlay Method. Independent laboratories demonstrated that SilvaKlenz has significant in vitro antimicrobial activity when tested by: MIC and MBC Dilution Methods; Zone of Inhibition Methods; USP Antimicrobial Effectiveness Test <51>; USP Microbial Limit Test <61>; Bioburden Aerobic Total Counts; and Microbial Challenge Test.

Normal MRSA biofilm

SilvaKlenz destroys biofilm and kills microbes

Normal “Intact” cell Membrane Before Treatment

Potentiator   induced Cytoplasmic Leakage Facilitating Bacteria Death

Numerous reports in the media and professional medical literature have expressed grave concerns about the effectiveness of currently available antibiotics against multi-drug resistant bacteria. Some strains of pathogenic bacteria have demonstrated rapidly evolving defensive strategies that render antibiotics worthless. One defensive strategy used by  microbes is to secrete a substance known as biofilm, which provides a protective shield effectively blocking antimicrobials from contacting the microbe.

Copyright 2017. All Rights Reserved

SilvaKlenz is available to licensed professionals only

®

Molecular Therapeutics, Silvion, SilvaKlenz, Potentiator and Potentiated are registered trademarks.

Molecular Therapeutics, LLC  111 Riverbend Rd, Suite 264 Athens, GA 30602 Contact Us

®

®

®